2025년 12월 18일(목)

치아 과다증으로 입 안에 유치만 '300개' 난 소년의 엑스레이 사진

인사이트bastillepost


[인사이트] 김나영 기자 = 병원 중에서도 유독 많은 사람들이 '치과'를 가장 무서워 한다.


피할 수 있으면 최대한 피하고 싶은 치과를 제 집처럼 드나들 수밖에 없는 안타까운 운명에 처한 한 소년의 사연이 전해졌다.


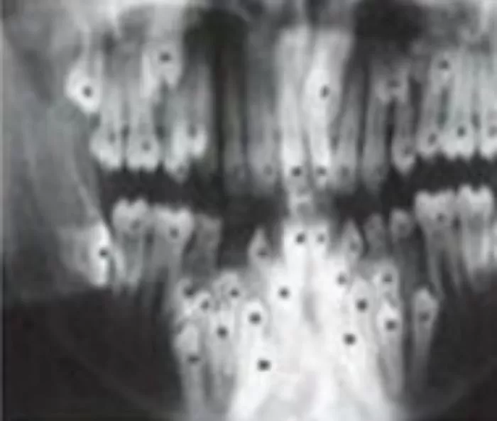
지난 5일(현지 시간) 온라인 미디어 'eva'는 치아 과다증이라는 희귀질환으로 유치만 300개가 난 소년의 엑스레이 사진을 공개했다.


필리핀 세부에서 태어난 소년 존크리스 칼 퀴란테(Johncris Carl Quirante)는 입 속에서 약 300개의 유치가 발견돼 의료진을 경악게 했다.


인사이트bastillepost


아이의 부모는 "아들이 처음 태어났을 때 어떤 문제도 갖고 있지 않았다"며 "2살 때 처음 이상하다는 것을 알아챘다고 설명했다.


부모는 아들의 입 안을 살펴보던 중 약 50개 정도의 치아가 빽빽하게 자라고 있는 것을 발견하고 깜짝 놀랐다.


하지만 집안 형편상 병원에 갈 여건이 되지 않자 이를 방치했는데, 충격적이게도 3년 후 존크리스의 입 안에서는 무려 150개 가량의 치아가 발견됐다.


이후에도 치아는 계속해서 더욱 많이 자라기 시작했고 9살이 됐을 때는 300개나 되는 치아가 입 속을 가득 채웠다.


인사이트eva


처음 존크리스의 치아 상태를 엑스레이로 확인한 의료진은 처음 보는 광경에 말문이 막혀 한동안 말을 잇지 못했다.


이미 입에는 더 이상 치아가 들어설 곳이 없었고 이대로면 외적으로도 심각한 후유증이 생길 수 있는 상황이었다.


결국 의료진은 고민 끝에 총 9번에 나눠 필요 없는 치아들을 제거하기로 결정했다.


다행히 존크리스는 의사 선생님들의 말을 잘 들어 힘든 수술 과정을 버텨줬고 무사히 치아를 제거하는데 성공했다.


한편 치아과다증은 전 세계 인구의 약 1~4%만 앓는 희귀질환으로 남성이 여성보다 발병 확률이 높은 것으로 알려졌다.


인사이트eva


인사이트bastillepost