2026년 05월 05일(화)

X-ray로 촬영해 본 수술비만 '300만원' 나온 매복 사랑니 상태

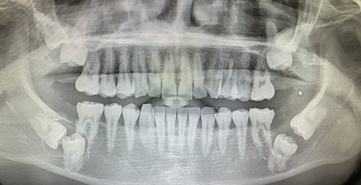
인사이트A씨의 사랑니 / 온라인 커뮤니티


[인사이트] 임우섭 기자 = 입속 치아 중 무려 8개의 치아가 매복돼 있는 사진이 나타나 충격을 주고 있다.


지난달 28일 온라인 커뮤니티 '디시인사이드-사랑니 갤러리'에는 "이거 대학병원 꼭 가야 되나요"라는 제목으로 한 사진이 올라왔다.


글에 따르면 작성자 A씨는 앞서 지난해 동네 치과에서 진찰을 받았다. 당시 치과 엑스레이 사진에서 치아 8개가 매복돼 있는 것을 발견했는데 치과의사는 작은 곳보다는 큰 병원에서 진찰을 받아야 할 것 같다며 대학병원을 추천했다.


이에 A씨는 이날 인근 대학병원 구강안면악과를 찾아 엑스레이와 CT를 촬영했다.


인사이트기사와 관련 없는 자료 사진 / gettyimagesBank


대학병원 내에서 A씨 치아에 대해 진찰한 결과는 꽤 심각했다. 매복된 치아 중 4개는 사랑니이며 나머지 4개는 어금니였기 때문이다. 


특히 잇몸 내 신경들이 다 눌려있는 상태로, 의사는 일부 이빨을 뽑게 될 시 구멍이 뚫릴 것이라고 말했다. 또 왼쪽 아래 한 부위는 염증이 아닌 물혹이라고 설명했다.


A씨는 의사에게서 수술을 진행할 경우 진료비가 300만원 정도 나올 것이라는 말을 들었다. 간단한 사랑니 발치 시술일 거라 생각하고 방문했지만 작은 수술이 아닌 큰 수술이 될 것이라는 말에 혼란을 느꼈다.


그러면서 끝으로 이달 말 입원을 하게 될 것이라고 말했다.


인사이트기사와 관련 없는 자료 사진 / gettyimagesBank


해당 사진을 본 누리꾼들은 "입원까지 해야 되나", "아니 사랑니가 어떻게 저렇게 나냐", "대학 병원이니 잘해 줄 거다 안심해라" 등 다양한 반응을 보였다.


한편 사랑니는 구강 내 맨 구석에서 가장 늦게 나오는 세 번째 어금니다. 사람에 따라 평생 나지 않거나 4개 모두 나기도 한다. 


사랑니는 보통 18세에서 20대 중반 시기 발치를 권장하며 50대 이후 창상에 대한 치유력이 떨어져 치과의사와의 상담을 통해 발치 여부를 결정한다.