SBS 'SBS 8 뉴스'
[인사이트] 원혜진 기자 = 사랑니를 발치하다가 환자의 턱뼈를 골절시키는 의료사고를 낸 제주의 한 치과가 후속 조치를 취하지 않아 논란이 됐다.
지난 29일 JIBS는 제주 시내의 한 치과에서 발생한 의료 사고 관련 제보 내용을 보도했다.
보도에 따르면 여성 환자 A씨는 지난달 해당 치과에서 사랑니를 발치했다.
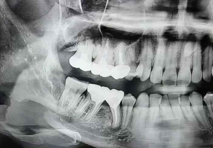
A씨는 발치 후 입을 다물 수 없을 정도로 끔찍한 고통을 느꼈고 결국 턱뼈 엑스레이를 찍어 상태를 확인했다.

SBS 'SBS 8 뉴스'
충격적이게도 A씨의 오른쪽 아래턱뼈가 부러져있었다. 그러나 의료사고를 낸 치과 측은 이를 확인한 후에도 별다른 조치를 취하지 않았다.
A씨는 결국 아픈 몸을 이끌고 홀로 인근 대학병원 응급실에 가서 수술을 받았다.
골절된 뼈에 철심을 박아 고정해야 하는 심각한 상태였다. 게다가 영구적인 치아 신경 손상까지 일으킬 수 있었다.
그러나 A씨는 치과 측이 사과다운 사과조차 하지 않았다고 주장하며 울분을 터뜨렸다.
A씨는 해당 치과를 고소하고 법적 조치를 취하게 하는 등 다양한 조치를 취하겠다고 밝혔다. 이에 치과 측은 취재진에게 과실에 대한 책임을 지겠다는 입장을 전했다.
SBS 'SBS 8 뉴스'