2025년 12월 22일(월)

밤새 핸드폰 하는 친구에 수면이 필요한 이유를 한눈에 보여주는 '뇌 촬영 영상'

기사의 이해를 돕기 위한 자료 사진 / gettyimagesBank


뇌 건강에 있어 수면은 가장 중요한 요소 중 하나


[인사이트] 성동권 기자 = 인간에게 있어 수면은 건강과 직결되는 가장 중요한 요소 중 하나다.


하지만 많은 이들이 바쁜 일상에 치여 수면을 후순위로 미루고 뜬 눈으로 밤을 지새운다.


이런 생활습관은 수면이 뇌에 미치는 건강한 작용을 놓치는 결과를 낳게 된다.


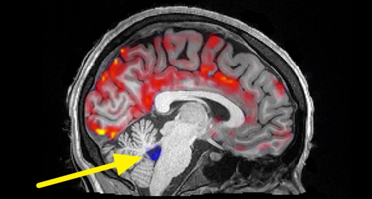
미국 보스턴대 공대


과거 미국 보스턴대 공대의 로라 루이스 생의학 공학 부교수 팀은 수면중인 뇌를 촬영한 자기공명영상을 하나 공개했다.


해당 영상에는 뇌척수액이 잠든 뇌를 구석구석을 깔끔하게 청소하는 장면이 고스란히 담겨있다.


미국 보스턴대 공대


혈액, 뇌척수액 번갈아가며 뇌 청소


영상에서 붉은색은 혈액의 움직임을 뜻한다. 혈액이 유입됐다 사라질 때 파란색으로 나타나는 부분이 뇌척수액의 유입이다.


혈류와 뇌척수액의 유입이 매우 리드미컬하게 번갈아 가며 박동을 이어가는 것을 볼 수 있다.


잠잘 때 신경세포의 활동이 조용해지면 혈액이 빠져나가고 대신 뇌척수액이 흘러들어오는데, 이 뇌척수액이 맥파의 리듬을 타고 뇌를 씻어낸다는 것이다.


미국 보스턴대 공대


수면과 뇌 건강의 상관관계에 대한 또 다른 연구 결과도 존재한다.


미국 펜실베니아주립대 의생명공학과, 인구학연구소, 계산·데이터과학연구소 공동연구팀은 충분한 잠이 뇌 속 독성단백질을 없애고 알츠하이머 치매도 막을 수 있다고 밝혔다.


기사의 이해를 돕기 위한 자료 사진 / gettyimagesBank


권장수면시간 지키면 알츠하이머 발병률 낮아


연구팀은 2004년 시작된 알츠하이머 뇌영상 선도연구(ADNI) 참가자 중 118명을 골라 수면 관련 설문조사, 뇌 척수액 분석 등을 실시했다. 그 결과  잠잘 때 나오는 저주파의 뇌파가 뇌척수액 흐름을 원활하게 만들고 독성물질인 베타아밀로이드, 타우단백질 등을 제거해 주는 것으로 확인됐다.


또한 권장수면시간을 지키는 사람들이 뇌 기능이 뛰어나고 알츠하이머 발병률도 낮은 것으로 나타났다.


기사의 이해를 돕기 위한 자료 사진 / gettyimagesBank